診療のご案内(予防医療・寄生虫予防)東洋眼虫(犬・猫・ヒト)
公開日:2025年11月19日
最終更新日:2026年4月1日
東洋眼虫は、犬・猫・ヒトの眼に寄生する線虫で、
神奈川県山間部でも注意が必要です。
東洋眼虫とは
東洋眼虫(Thelazia callipaeda)は、犬・猫・ヒトの眼(結膜嚢・鼻涙管)に寄生する体長10〜17mmの白色線虫です。涙液を吸うショウジョウバエ科のマダラメマトイ(Phortica okadai)などが媒介し、主に春から秋に感染します。
かつては九州など西日本を中心にみられていましたが、近年は関東以北にも分布が拡大しており、神奈川県内でも感染例が散見されています。メマトイが分布する森林や低山に近い環境では、犬や猫だけでなく、まれにヒトにも感染する人獣共通感染症として注意が必要です。
当院でも、2021年から2024年までの4年間に13例を経験しています(小島ら, 2026)※2。このページでは、東洋眼虫の概要、疫学、症状、診断と治療、予防、予防薬の有効性をまとめています。
※2:小島 健太郎 ら. 神奈川県山間部でみられた犬の東洋眼虫症13例(2021~2024年). 日本獣医師会雑誌. 79: e15-e20 (2026) ![]()

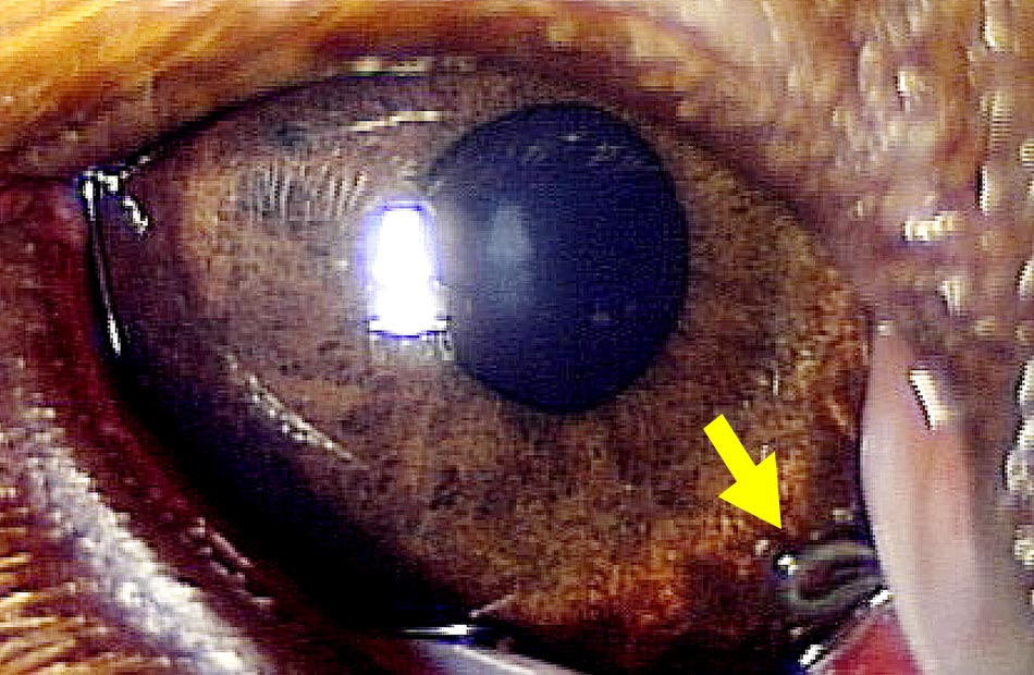
犬の眼に寄生する東洋眼虫(Thelazia callipaeda)(矢印)
(写真提供:横浜どうぶつ眼科)
疫学
マダラメマトイが分布する森林や低山に居住している動物は感染しやすいです。メマトイが活動する春から秋にかけて感染が起こりやすいですが、症状が出るまでに時間を要する場合もあります。
当院のある神奈川県山間部では、野生動物(アライグマ、タヌキなど)を介して流行が拡大している可能性があります。当院に来院した犬における年間平均罹患率は0.26%であり、高齢犬や大型犬で感染しやすい傾向がみられました。

当院で東洋眼虫症と診断した犬13例の地理的分布。標高104mの山間部にある当院の位置(×)と東洋眼虫症と診断された犬の居住地(〇)。
症状
涙や目やにが増える(流涙、眼脂)、眼をしょぼしょぼさせる(羞明)、結膜が腫れる(結膜炎)などの症状がみられます。
これらの症状が通常の点眼治療で改善せず、メマトイの分布地域への居住歴や旅行歴がある場合には、東洋眼虫症の可能性を考慮する必要があります。
診断と治療
眼科検査で虫体を確認し、局所麻酔下で生理食塩水を用いて結膜を洗浄して摘出します。寄生数が多い場合や完全に取り切れない場合には、駆虫薬を併用します。
予防
海外では、犬に対してフィラリア予防薬で高い有効性(83~100%)が報告されています。日本でも、2025年6月20日に駆虫薬「シンパリカトリオ®」の適応に「東洋眼虫の寄生予防」が追記されました。
ただし、当院で東洋眼虫症と診断した犬13例のうち5例はフィラリア予防薬の投薬中に感染しており、これらの薬剤には一定の予防効果が期待されるものの、完全な防御を保証するものではありません。
最も重要な感染予防は、室内飼育の徹底やメマトイとの接触を避けること(眼や顔まわりに寄るハエに注意する)と考えられます。当院で東洋眼虫症と診断した犬13例のうち10例は室内飼育であったことから、散歩時にはメマトイが多い森林や低山地帯を避けるよう注意が必要です。
犬における東洋眼虫症予防のための犬糸状虫症予防薬の有効性に関する報告
| 文献 | 国 | 使用された国内同製品 (東洋眼虫症予防の効能) | 有効薬剤名 | 種類 | 投与期間 | 症例数 | 有効率 |
|---|---|---|---|---|---|---|---|
| Lebon (2019)※3 | フランス スペイン | ネクスガードスペクトラ (適応外) | ミルベマイシンオキシム | 内用薬 | 6か月 | 37 | 100% |
| Marino (2021)※4 | スペイン | 商品名は非公表 | ミルベマイシンオキシム | 内用薬 | 通年 | 30 | 83% |
| モキシデクチン | 注射薬 徐放製剤 | 25 | 100% | ||||
| モキシデクチン | 外用薬 | 46 | 93% | ||||
| イベルメクチン | 点眼 | 32 | 88% | ||||
| Bezerra-Santos (2022)※5 | イタリア フランス | シンパリカトリオ(適応) | モキシデクチン | 内用薬 | 6か月 | 58 | 100% |
※3:Lebon W et al. Prevention of canine ocular thelaziosis (Thelazia callipaeda) with a combination of milbemycin oxime and afoxolaner (Nexgard Spectra®) in endemic areas in France and Spain. Parasite. 26: 1 (2019) PMID: 30644355
※4:Marino V et al. Update on the treatment and prevention of ocular thelaziosis (Thelazia callipaeda) in naturally infected dogs from Spain. Int J Parasitol. 51: 73-81 (2021) PMID: 33091413
※5:Bezerra-Santos MA et al. Efficacy of a formulation of sarolaner/moxidectin/pyrantel (Simparica Trio®) for the prevention of Thelazia callipaeda canine eyeworm infection. Parasit Vectors. 15: 370 (2022) PMID: 36244989
猫における東洋眼虫症予防のための駆虫薬の有効性に関する報告
| 文献 | 国 | 使用された国内同製品 | 有効薬剤名 | 種類 | 投与期間 | 症例数 | 有効率 |
|---|---|---|---|---|---|---|---|
| Marino (2021)※6 | スペイン | 商品名は非公表 | モキシデクチン | 外用薬 | 通年 | 4 | 100% |
※6:Marino V et al. Feline thelaziosis (Thelazia callipaeda) in Spain: state-of-the-art and first prophylactic trial in cats. J Feline Med Surg. 23: 1117-1128 (2021) PMID: 33719674
Q&A
東洋眼虫は人にうつりますか?
はい。東洋眼虫は人獣共通感染症で、ヒトにも感染します。ただしメマトイ(ハエ)を介した間接感染であり、犬・猫から直接うつることはありません。
フィラリア予防薬で東洋眼虫を予防できますか?
海外の研究では83〜100%の有効率が報告されていますが、当院の症例では予防薬投薬中でも感染した例が5例あり、完全な防御は保証されません。室内飼育とメマトイとの接触回避が最も重要です。
東洋眼虫症にはどんな症状がありますか?
涙や目やにの増加、眼をしょぼしょぼさせる(羞明)、結膜炎などが主な症状です。通常の点眼治療で改善しない場合に東洋眼虫症を疑います。
